좌식 생활을 주로 하는 한국인들은 50세쯤 부터 무릎통증을 많이 호소하게 됩니다. 무릎의 관절은 재생되지 않는 것으로 통증이 생기기 시작하면 결국 수술로 이어집니다. 무릎 인공관절의 수술비용과 국가지원사업 및 장단점에 대해서 알아보도록 하겠습니다.
- 목차 -
무릎 인공관절 수술비용 및 입원기간 국가지원사업 총 정리
✔︎ 인공관절 수술 언제 해야 할까? 꼭 해야 할까?
무릎의 퇴행성 관절염은 1기부터 4기로 구분합니다. 4기가 되면 일상생활이 어려울 정도로 통증이 심하고, 휴식 시에도, 취침 시에도 지속적으로 아픕니다. 4기쯤 되시는 분들은 아마도 병원에서 수술 빼고 약물 치료 및 통증치료들을 꽤 많이 받으셨을 텐데요. 그럼에도 불구하고 호전이 없는 상태라면 수술을 고려해 보시는 것이 좋습니다.

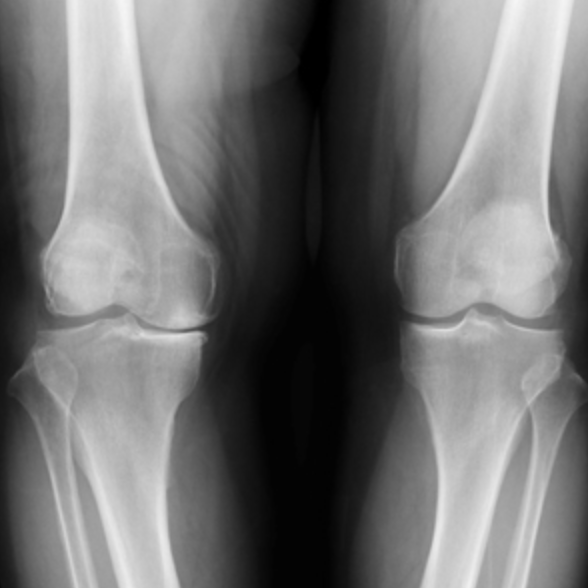
통증으로 병원을 찾았을 때 엑스레이를 찍으면 무릎 사진을 보실 수 있는데요. 위의 허벅지 뼈와 아래의 정강이 뼈 사이에 연골이 닳아 뼈와 뼈가 거의 맞닿아 있는 상태에 가깝다면 수술 상담을 받아보시는 게 좋습니다.
더군다나 통증이 심하다면 일상생활에 무리가 옵니다. 사람의 움직임을 최소화시켜 활동량을 떨어트리고, 관절을 굳게 만들고 근육을 약하게 만듭니다. 이런 상태가 되면 수술을 해도 호전적으로 낫기 힘드니 수술을 두려워하지 마시고, 생활이 힘들다면 상담을 꼭 받아보시기를 바랍니다.
✔︎ 인공관절 수술 병원을 고르는 방법
정형외과 수술은 의사의 숙련도 및 수술 횟수에 크게 영향을 받습니다. 어렵고 난이도가 높은 수술은 서울의 대학병원을 방문하시는 것이 좋으나, 정형외과적 수술은 거주 지역에 소문난 의사 선생님을 찾아가시는 것도 좋은 방법입니다.

또 하나, 보건 복지부의 관절전문인증 제도가 있습니다. 의료 수준 및 의료의 질을 까다롭게 평가하여 기준에 부합하는 병원에게 주어지는 관절전문인증 표시가 있습니다. 사시는 지역 + 관절전문병원 검색하시면 병원 측에서 홍보하고 있사오니 검색하셔서 찾아가시는 것도 좋은 방법입니다. 해당 인증은 4년에 한 번씩 갱신되어 4년마다 평가를 받아야 합니다.
✔︎ 인공관절 수술의 장단점
인공관절 수술의 가장 이점은 통증이 사라진다는 것입니다. 통증이 사라진다는 것은 일상으로의 복귀가 가능하다는 뜻이기도 합니다. 수술 전의 가벼운 운동을 하는 정도의 일상을 다시 누릴 수 있습니다.
하지만 인공관절이 장점만 있는 것은 아닙니다. 우선 인공관절의 수명은 최대 20년으로, 최대한 조심히 쓰셔야 합니다. 격렬한 운동 및 무릎에 무리가 많이 가는 동작을 최대한 삼가고, 약물치료 및 통증치료를 받으며 무리하지 않는 선에서 생활하다가 65세가 넘으면 수술하시기를 권합니다.
✔︎ 인공관절 수술에 관련한 비용 및 보험적용
인공관절 수술비용은 병원마다 부르는 것이 천차만별로 수술 전 검사 및 입원 치료비 등을 생각하시면 800~1200만 원 정도의 비용이 청구됩니다. 종합병원 및 대학병원에서는 더 높은 비용이 발생합니다. 입원기간은 1개월 정도 소요됩니다.
상해 관련 보험이나 수술비 항목이 보험에 있다면, 보험으로 충분히 커버되니 걱정하지 않으셔도 됩니다. 의료실비도 당연히 적용됩니다 ^^
✔︎ 국가 인공관절 수술비 지원
보건복지부에서 무릎 인공관절 수술지원사업을 실시하고 있습니다. 경제적으로 어려운 분들을 의해 의료비를 지원해 주는 사업입니다. 위의 링크에서 인공관절 수술비 지원 대상자를 조회할 수 있습니다.
지원대상
신청일 기준하여 만 60세 이상의 인공관절치환술 인정기준에 부합하는 질환자
지원범위
한쪽 무릎을 기준하여 120만 원 지원. (검사비, 진료비, 수술비)
신청방법
가까운 보건소에서 지원자 및 보호자, 혹은 사회복지 담당 공무원이 신청할 수 있으며, 구비서류 지참하시어 방문신청하시면 됩니다.

예산 소진 시 조기마감 될 수 있습니다.
함께 보면 좋은 글
물리치료사가 알려주는 무릎 인공관절 수술 후 재활치료 방법
인공관절 수술 이후 일상으로 복귀하기 위해 재활치료를 시작하실 텐데요. 병원에서 해주는 치료 이외에 혼자서도 꾸준히 할 수 있는 쉽고 간단한 셀프 재활치료를 알려드릴게요. - 목차 - 0~4주
1.mrdochi.com
성분좋은 관절 영양제 글루코사민 추천 Best 3
관절 통증을 개선하기 위해 먹는 영양제로 많이 알려진 영양제로는 글루코사민이 있습니다. 글루코사민의 효능, 섭취하면 좋은 사람, 영양제를 복용할 때 유의할 점 및 많이 구매하는 제품을 소
1.mrdochi.com
관절에 좋은 영양제 MSM 추천 Best 3
무릎관절 통증이나 연골건강을 고민 중이라면 MSM을 들어보신 적이 있을 텐데요. MSM 관절 영양제 중 판매순위가 높고 성분이 좋은 영양제를 소개합니다. 관절에 좋은 영양제 MSM 추천 Best 3 관절에
1.mrdochi.com

댓글